CONDIVIDI | STAMPA | E-MAIL
Una nuova importante autopsia rapporto ha scoperto che tre persone che sono morte improvvisamente a casa senza alcuna malattia preesistente poco dopo la vaccinazione contro il Covid sono state probabilmente uccise dal vaccino. Si è scoperto che altri due decessi erano probabilmente dovuti al vaccino.
. rapporto, pubblicato in Ricerca Clinica in Cardiologia, la rivista ufficiale della German Cardiac Society, autopsie dettagliate effettuate presso l'ospedale universitario di Heidelberg nel 2021. Guidato da Thomas Longerich e Peter Schirmacher, ha rilevato che in cinque decessi avvenuti entro una settimana dalla prima o dalla seconda dose di vaccinazione con Pfizer o Moderna, l'infiammazione del tessuto cardiaco dovuta a una risposta autoimmune innescata dal vaccino aveva probabilmente o forse causato la morte.
Caso caratteristico di cinque decessi probabili o possibilmente causati dai vaccini Covid
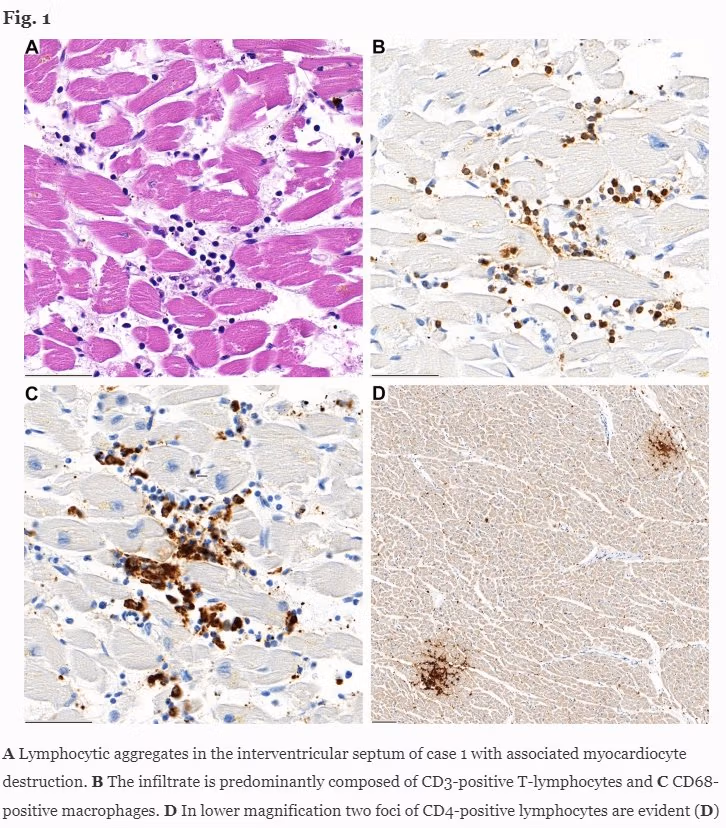
Le cellule immunitarie dei linfociti (globuli bianchi) sono mostrate in blu e marrone nel tessuto cardiaco, causando un'infiammazione localizzata che si è rivelata fatale
In totale il rapporto ha esaminato 35 autopsie eseguite presso l'Università di Heidelberg su persone decedute entro 20 giorni dalla vaccinazione Covid, di cui 10 ritenute all'esame dovute a una malattia preesistente e non al vaccino. Per i restanti 20, il rapporto non ha escluso il vaccino come causa di morte, che il dottor Schirmacher mi ha confermato essere intenzionale poiché i risultati dell'autopsia erano inconcludenti. Quasi tutti i casi rimanenti erano di causa cardiovascolare, come indicato nella tabella sottostante dai materiali supplementari, dove 21 dei 30 decessi sono attribuiti a una causa cardiovascolare. Uno di questi è attribuito ai coaguli di sangue (VITT) dalla vaccinazione AstraZeneca (il rapporto esaminava specificamente i decessi per miocardite post-vaccino), lasciando 20 per altre cause cardiovascolari.
Per i cinque decessi nel rapporto principale attribuiti come probabili o possibilmente dovuti ai vaccini, gli autori affermano:
Tutti i casi mancavano di malattia coronarica significativa, manifestazioni acute o croniche di cardiopatia ischemica, manifestazioni di cardiomiopatia o altri segni di una malattia cardiaca preesistente clinicamente rilevante.
Ciò indica che gli autori si sono limitati ai decessi in cui non c'erano "malattie cardiache preesistenti, clinicamente rilevanti", rendendo il rapporto molto prudente in cui i decessi erano disposti ad attribuire ai vaccini.
Il dottor Schirmacher mi ha detto:
Abbiamo incluso solo i casi in cui la costellazione era inequivocabilmente chiara e nessun'altra causa di morte era dimostrabile nonostante tutti gli sforzi. Non possiamo escludere gli effetti del vaccino negli altri casi, ma qui avevamo una potenziale causa alternativa di morte (es. infarto del miocardio, embolia polmonare). In presenza di cardiomiopatia ischemica grave è quasi impossibile escludere effetti di miocardite o escludere definitivamente alterazioni infiammatorie come dovute alla vaccinazione. Questi casi non sono stati inclusi.
Non abbiamo cercato di includere o trovare tutti i casi, ma le caratteristiche dei casi definitivi, inequivocabili al di là di ogni dubbio. Solo così si possono stabilire le caratteristiche tipiche; altrimenti criteri meno severi possono portare alla "contaminazione" della collettività; è assolutamente plausibile che in base a questi criteri potremmo aver perso ulteriori casi, ma l'intenzione del nostro studio non è mai stata quantitativa o di estrapolazione e vi sono numerosi pregiudizi positivi e negativi. Ma volevamo stabilire il fatto non la dimensione.
È ovviamente molto probabile che i vaccini causino la morte anche in presenza di una condizione cardiovascolare sottostante e, in effetti, è più probabile che ciò accada. Quindi questi cinque decessi sono il minimo di questi casi di autopsia in cui sono coinvolti i vaccini, quelli in cui non c'è altra spiegazione plausibile.
Vale la pena notare qui che inizialmente nel 2021, quando furono eseguite per la prima volta le autopsie, il Dr. Schirmacher ha dichiarato che il suo team aveva concluso che il 30-40 per cento dei decessi era dovuto ai vaccini. Queste stime precedenti possono darci una migliore indicazione di quanti dei decessi gli autori pensano siano realmente attribuibili ai vaccini, quando non sono vincolati da ipotesi altamente prudenti (e guardando cause oltre alla miocardite). Si noti che queste percentuali si basano su una selezione di decessi avvenuti poco dopo la vaccinazione, non su un campione casuale di tutti i decessi, quindi gli autori avvertono giustamente che non è possibile effettuare alcuna stima del rischio individuale da essi.
Le autopsie hanno trovato la proteina spike dei vaccini presente nel tessuto cardiaco? I campioni dei cinque decessi attribuiti al vaccino sono stati testati per agenti infettivi tra cui SARS-CoV-2 (in un caso rivelando "bassi numeri di copie virali" di un virus dell'herpes, che gli autori hanno ritenuto insufficienti per spiegare l'infiammazione). Tuttavia, non sono stati eseguiti test specifici per la proteina spike del virus o la proteina nucleocapside, come sono stati utilizzati con successo Altri autopsie per aiutare l'attribuzione al vaccino, quindi sfortunatamente questa prova non era disponibile per queste autopsie.
Le autopsie nel rapporto coprono anche solo le dosi 1 e 2, non eventuali dosi di richiamo, e solo i decessi entro 20 giorni dalla vaccinazione, quindi il rapporto non affronta direttamente la questione di cosa sta causando il morti cardiache elevate dal lancio del richiamo dall'autunno 2021 o se i vaccini possono innescare la morte cardiovascolare settimane o mesi dopo. (Altro autopsie hanno confermato che la proteina spike può persistere nel corpo per settimane o mesi dopo la vaccinazione e innescare un attacco autoimmune fatale al cuore.)
Ciò che fa il rapporto, tuttavia, è stabilire che le persone che muoiono improvvisamente nei giorni immediatamente successivi alla vaccinazione potrebbero essere morte a causa di un attacco cardiaco autoimmune correlato al vaccino. Conferma anche quanto possa essere mortale anche una lieve miocardite indotta da vaccino, e quindi perché studi come quello di Tailandia, trovando effetti avversi cardiovascolari in circa un terzo degli adolescenti (29.2%) dopo la vaccinazione Pfizer e infiammazione cardiaca subclinica in uno su 43 (2.3%), e lo studio di Svizzera trovando almeno il 2.8% con miocardite subclinica e livelli elevati di troponina (che indicano lesioni cardiache) in tutte le persone vaccinate, sono così preoccupanti.
Gli autori del nuovo studio scrivono diplomaticamente che "l'incidenza riportata" di miocardite dopo la vaccinazione è "bassa" e che i rischi di ospedalizzazione e morte associati a COVID-19 sono "dichiarati maggiori del rischio registrato associato alla vaccinazione COVID-19 ” – in particolare rifiutando di impegnarsi nelle proposte ufficiali che ripetono doverosamente.
Il fatto che coloro che muoiono improvvisamente dopo la vaccinazione possano essere morti per gli effetti nascosti del vaccino Covid sul loro cuore è quindi ormai saldamente stabilito nella letteratura medica. La grande domanda rimanente è quanto spesso si verifica.
Fermare Premere: Il Dr. John Campbell ha prodotto un'utile panoramica dei risultati del rapporto nel suo ultimo video.
Ripubblicato da Scettico quotidiano